Servicii stomatologice

Consultație stomatologică

Albire profesională

Aparat ortodontic

Igienizare profesională

Tratament de canal

Stomatologie copii

Implant dentar

Extracție molar
Toți specialiștii de care ai nevoie într-un singur loc

Dental Hospital România – Pasiune românească pentru excelență medicală
Dental Hospital România este primul spital privat de stomatologie din România, dar în accelași timp este și visul împlinit al unei echipe care a pus suflet, credință și dragoste de neam în slujba celor care au nevoie de zâmebete sănătoase.
Acest loc a fost gândit ca un spațiu în care se întâlnesc grija pentru pacienții noștri și valorile noastre naționale.
De aceea, fiecare cabinet poartă numele unei regiuni istorice sau al unui oraș simbolic, pentru a ne aminti că dincolo de distanțe, rămânem uniți prin ceea ce ne definește: rădăcinile, valorile și credința, iar, îndemnul nostru „Zâmbește românește!” este un simbol al biruinței, al curajului și al demnității noastre umane.
Crezul nostru – “Nihil sine Deo” – nu este doar un motto, ci un mod de a trăi și a practica medicina. Credem că în fiecare pacient există o poveste, un vis, o scânteie sau o speranță, iar promisiunea noastră este să răspundem cu empatie, pricepere și dedicare absolută fiecărui pacient care ne trece pragul.
Programare online
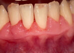
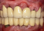
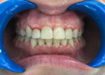
După
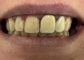
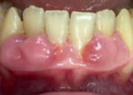
Înainte
Câteva dintre cazurile noastre

Cazuri ESTETICĂ
Terapie și protetică
Coroane zircnoiu multi-layer

Refacere muchie incizală compozit
Cazuri
ORTODONȚIE
Alinierea dinților – gutiere Spark

Închiderea spațiilor cu aparat dentar fix

Ce spun pacienții?

Dr. Psiholog Daniel Duta
Totuși, datorită medicilor și tratamentelor profesioniste efectuate la DHR, acum sunt foarte bine.
Doresc să le mulțumesc pe această cale medicilor Carmen Nicolae, Irina Trosca, Bianca Spânoche și Gabriel Pavel.
Mult succes DHR în continuare!
Corina, 61 de ani
Vă mulțumesc, pentru că ați ales sa faceți bine în România!
Vă mulțumesc, pentru profesionalism!
Vă mulțumesc, pentru că inspirați încredere!
Vă mulțumesc, pentru dedicare!
Vă mulțumesc, cu inima și sufletul unei mame care caută ce e mai bun pentru copilul ei!
Recomand cu drag pe doamna doctor Irina Trosca și pe domnul doctor Mihai Păunică. 🤍
Mulțumesc frumos
Pot spune ca sunt "o familie de buna calitate" , fara sa exagerez.












