Pregătirea continuă, profesionalismul și empatia medicilor noștri fac, ca și cele mai dificile cazuri să fie rezolvate cu succes.

Protetica dentară este un domeniu de specialitate al stomatologiei care implică utilizarea restaurărilor dentare fixe și detașabile pentru a restabili aspectul și funcția dentară.

Dr. Alexa NUȚU

Medic stomatologie generală
specializat protetică și estetică dentară

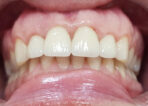
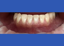
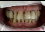
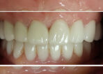
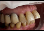
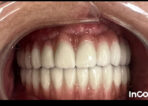
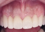
Coroane zircnoiu multi-layer

 


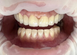
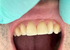
Coroane ceramică pe zirconiu

 


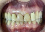
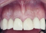
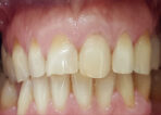
Refacere muchie incizală compozit

 


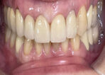
Obturații
compozit

 


Fațete din
compozit

 


Obturații
compozit

 


Dr. Mihaela VĂDUVA

Medic stomatolog
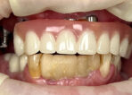
specializat protetică pe implanturi

Caz 1

 


Caz 4

 


Caz 7

 


Caz 10

 


Caz 2

 


Caz 5

 


Caz 8

 


Caz 11

 


Caz 3

 


Caz 6

 


Caz 9

 


Caz 11

 


Dr. Georgiana BULIGA

Medic stomatologie generală

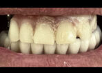
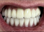
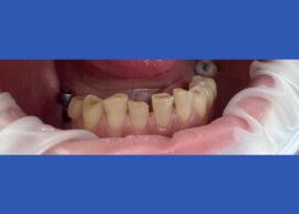
8 coroane zirconiu multilayer

 


Obturații estetice compozit

 


Coroane ceramică pe zirconiu

 


Coroane zirconiu multilayer

 


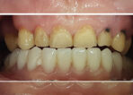
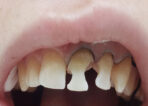
4 coroane
eMax

 


Coroane
eMax

 


Dr. Delisa RADU

Medic specialist stomatologie generală specialist protetică și estetică dentară

Caz 1

 


Caz 2